Breaking News

Monthly Archives: November 2025

বিএনপির সর্বোচ্চ নীতিনির্ধারণী বৈঠকে যে সিদ্ধান্ত এলো

জাতীয় নির্বাচন সামনে রেখে বড় পরিসরে জনমুখী প্রচারে নামার সিদ্ধান্ত নিয়েছে বিএনপি। দলটির স্থায়ী কমিটির সর্বশেষ বৈঠকে আসনভিত্তিক বিশেষ টিম গঠন, সেক্টরভিত্তিক অঙ্গীকার তৈরি এবং পৃথক লিফলেটের মাধ্যমে এসব পরিকল্পনা জনগণের ঘরে ঘরে পৌঁছে দেওয়ার ব্যাপারে সর্বসম্মত মত হয়। নির্ভরযোগ্য সূত্রে জানা গেছে, রাষ্ট্রক্ষমতায় গেলে কোন সেক্টরে কী ধরনের পরিবর্তন …

Read More »

হঠাৎ জরুরি বৈঠক ডেকেছে প্রধান উপদেষ্টা

অন্তর্বর্তী সরকারের উপদেষ্টা পরিষদের বৈঠক অনুষ্ঠিত হয়েছে। বৃহস্পতিবার (২৭ নভেম্বর) রাজধানীর তেজগাঁওয়ে প্রধান উপদেষ্টার কার্যালয়ে বৈঠক অনুষ্ঠিত হয়। এতে সভাপতিত্ব করেন অন্তর্বর্তী সরকারের প্রধান উপদেষ্টা ড. মুহাম্মদ ইউনূস। বৈঠকের বিভিন্ন সিদ্ধান্ত সম্পর্কে জানাতে প্রধান উপদেষ্টার প্রেস উইং থেকে আজ বিকেল ৩টায় প্রেস ব্রিফিং ডাকা হয়েছে। রাজধানীর বেইলি রোডের ফরেন সার্ভিস …

Read More »

ক্লাস করা বাদ দিয়ে পার্কে গিয়ে মধ্যপান স্কুল ছাত্রীর ভিডিও ভাইরাল।

ক্লা’স করা বা’দ দিয়ে পা’র্কে গিয়ে ম/ধ্য/পা/ন স্কুল ছা’ত্রীর ভি’ডিও ভা/ই/রা/ল। বান্ধবীর জন্ম’দিন তাই সব বান্ধবী’রা মিলে ক্লাস ফাঁ/কি দিয়ে পা/র্কে গিয়েছেন জন্ম’দিন উ’দ’যা’প’ন করতে। সব ঠিক ছিল তবে বি’প’ত্তি’বা’দে একটা ভিডিওতে। যেখানে কেক কা/টা/র পর কিছু বান্ধবী’রা মিলে দু/ষ্টু পা’নি খাওয়া শুরু করে। পা’র্কে থাকা এক যুবকে’র ক্যামেরায় ধ/রা …

Read More »

এবার ৬.৩ মাত্রার ভয়াবহ ভূমিকম্পের আঘাত

ইন্দোনেশিয়ার সুমাত্রায় ৬ দশমিক ৩ মাত্রার একটি শক্তিশালী ভূমিকম্প আঘাত হেনেছে। বৃহস্পতিবার (২৭ নভেম্বর) সকাল ১১টা ৫৬ মিনিটে দেশটির নানগ্রো আচেহ দারুসালাম প্রদেশ থেকে ৬৩ কিলোমিটার দূরে ভূকম্পন হয়। এটি মাটির মাত্র ১৪ কিলোমিটার গভীরে আঘাত হেনেছে। উৎপত্তিস্থলের আশপাশের অনেক মানুষ এটি অনুভব করেন। ভূকম্পনবিষয়ক ওয়েবসাইট ভলকানো ডিসকভারি জানিয়েছে, ইউরোপীয়-ভূমধ্যসাগরীয় …

Read More »

ইমরান খানের মৃত্যু খবরে পাকিস্তানে উত্তেজনা, কারাগার কর্তৃপক্ষের বিবৃতি

পাকিস্তানের রাজনীতিতে এক নতুন উত্তেজনার জন্ম দিয়েছে সাবেক প্রধানমন্ত্রী ইমরান খানের মৃত্যুর গুজব। রাওয়ালপিন্ডির আদিয়ালা কারাগারের ভিতরে এই খবর ছড়িয়ে পড়ার পর দেশজুড়ে তোলপাড় সৃষ্টি হয়েছে। ইমরান খানের তিন বোন অভিযোগ করেছেন, বারবার সাক্ষাতের জন্য আবেদন করলেও তাদের অনুমতি দেওয়া হচ্ছে না। এমনকি কারাগারে ভাইয়ের সঙ্গে দেখা করার চেষ্টার সময় …

Read More »

বিএনপি থেকে নতুন করে সুখবর পেলেন ৭৪ নেতা, নামসহ দেখে নিন

দলের কেন্দ্র থেকে সুখবর পেয়েছেন আরও ৭৪ জন নেতা। এই নেতাদের বহিষ্কারাদেশ প্রত্যাহার করেছে বিএনপি। তাদেরকে সংগঠনবিরোধী কর্মকাণ্ডের অভিযোগে বহিষ্কৃত করা হয়েছিল। বুধবার (২৬ নভেম্বর) বিএনপির সিনিয়র যুগ্ম মহাসচিব রুহুল কবির রিজভী স্বাক্ষরিত এক বিবৃতিতে এ তথ্য জানানো হয়েছে। বিবৃতিতে বলা হয়, ইতোপূর্বে সংগঠনবিরোধী কর্মকাণ্ডের জন্য ৭৪ নেতাকে বহিষ্কার করা …

Read More »

হাসিনার স্বর্ণালঙ্কারের লকারে থাকা চিরকুটে পাওয়া গেল নতুন তথ্য

পলাতক সাবেক প্রধানমন্ত্রী শেখ হাসিনা ওয়াজেদের দাখিল করা সম্পদ বিবরণী পুনঃযাচাই করতে গিয়ে দুদক তার নামে খোলা তিনটি ব্যাংক লকার খুলে মোট ৯ কেজি ৭০৭ গ্রাম (৮৩২ ভরি) স্বর্ণ উদ্ধার করেছে। লকারে রাখা বর্ণনা ও একটি হাতে লেখা চিরকুট দেখে ধারণা করা হচ্ছে—এ স্বর্ণালঙ্কারগুলো শেখ হাসিনা, শেখ রেহানা, সাইমা ওয়াজেদ …

Read More »

৫% সুদে ৩০ লাখ টাকা লোন, কিস্তি শুরু দেড় বছর পর

পরিবেশবান্ধব বহুতল ভবনে ফ্ল্যাট কেনায় জামানত ছাড়াই ৩০ লাখ টাকা পর্যন্ত নিম্ন ও মধ্যবিত্তদের ঋণ দেবে ব্যাংক। এই ঋণের সুদহার পাঁচ থেকে সর্বোচ্চ ছয় শতাংশ। ২৪ জুলাই বাংলাদেশ ব্যাংকের সাসটেইনেবল ফাইন্যান্স ডিপার্টমেন্ট থেকে জারি করা সার্কুলারে পরিবেশবান্ধব খাতে বিদ্যমান ৪০০ কোটি টাকা পুনঃঅর্থায়ন কর্মসূচির আওতায় ফ্ল্যাট কেনায় ঋণের বিষয়টি নতুন …

Read More »

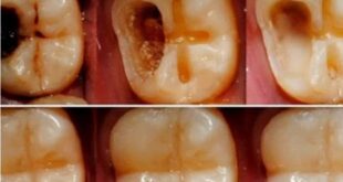
দাঁতের গর্ত কেন হয়, আর গর্ত হলে আপনি কী করবেন জেনে নিন

আমাদের অতি মূল্যবান সম্পদ দাঁত। বর্তমানে দাঁত ক্ষয় ও দাঁতে ছিদ্র হওয়া একটি সাধারণ সমস্যা হয়ে দাঁড়িয়েছে। সাধারণত শিশু, টিনএজার ও বয়স্কদের এই সমস্যাটি বেশি হতে দেখা যায়। ব্যাকটেরিয়ার সংক্রমণ ের ফলেই দাঁত ক্ষয় হয়ে থাকে। ঘন ঘন স্ন্যাক্স ও ড্রিঙ্কস খাওয়া, অনেকক্ষণ যাবত দাঁতের মধ্যে খাবার লেগে থাকা, ফ্লোরাইড …

Read More »

আপনার স্মার্ট জাতীয় পরিচয়পত্র এসেছে কি না যেভাবে জানবেন ঘরে বসেই

২০২৫ সালের শুরু থেকে দেশের বিভিন্ন উপজেলায় আবারও শুরু হয়েছে স্মার্ট জাতীয় পরিচয়পত্র (স্মার্ট এনআইডি) বিতরণ কার্যক্রম। নির্বাচন কমিশনের (ইসি) তথ্য অনুযায়ী, এ বছরের বিতরণ কার্যক্রম ধাপে ধাপে চলবে এবং অগ্রাধিকার পাবেন ২০০৮ সাল থেকে ২০১৯ সালের মধ্যে ভোটার হওয়া নাগরিকরা। স্মার্ট কার্ড প্রস্তুত কি না, জেনে নিন অনলাইনে স্মার্ট …

Read More »